

クマ取り美容外科・美容皮膚科


当院では
クマ治療を専門的に
受けることができます。
-
裏ハムラ法
-
切開ハムラ法
-
切らないクマ取り術
-
脂肪注入
皮膚科医による確かな知識や経験を元に、患者様のお悩みに寄り添います。
クマが薄くなると、お顔の印象も変わります。気になる方はぜひご相談ください。
湘南美容クリニック(SBC)症例数
-
裏ハムラSBC症例数(2023年上半期) 関西No.1
-
切開ハムラSBC症例数(2024年上半期) 関西No.1
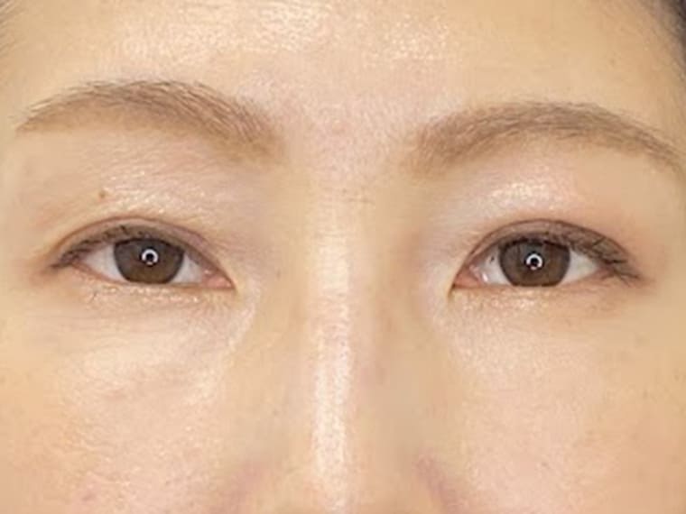
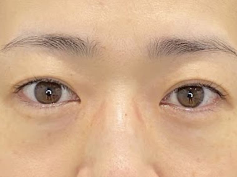
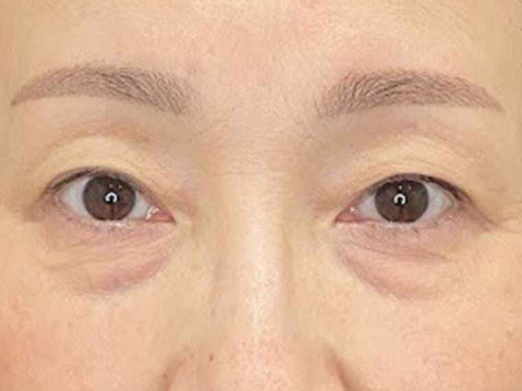
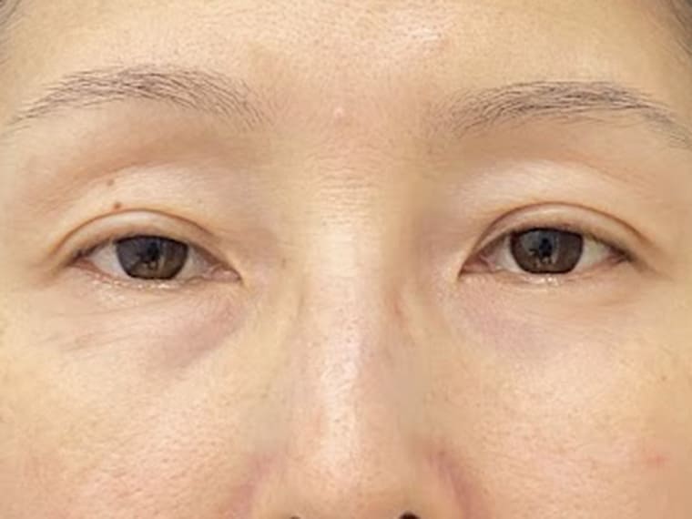
クマの種類Type
目の下のふくらみや、弛み、へこみや影などを一般的に「クマ」と言います。
-
青クマ
寝不足や飲みすぎた次の日に目の下が青くなって不健康に見えるものを「青クマ」と言い、血液の還流不全が原因です。
-
黒クマ・影グマ
目の周りの眼窩脂肪が突出することで膨らんで見えるものを「影クマ」「黒クマ」と言います。この場合、手術による治療が第一選択です。
-
赤クマ・茶グマ
皮膚が薄いために眼輪筋が透けて見えるものを「赤クマ」、色素沈着による茶色に見えるものを「茶クマ」と言います。
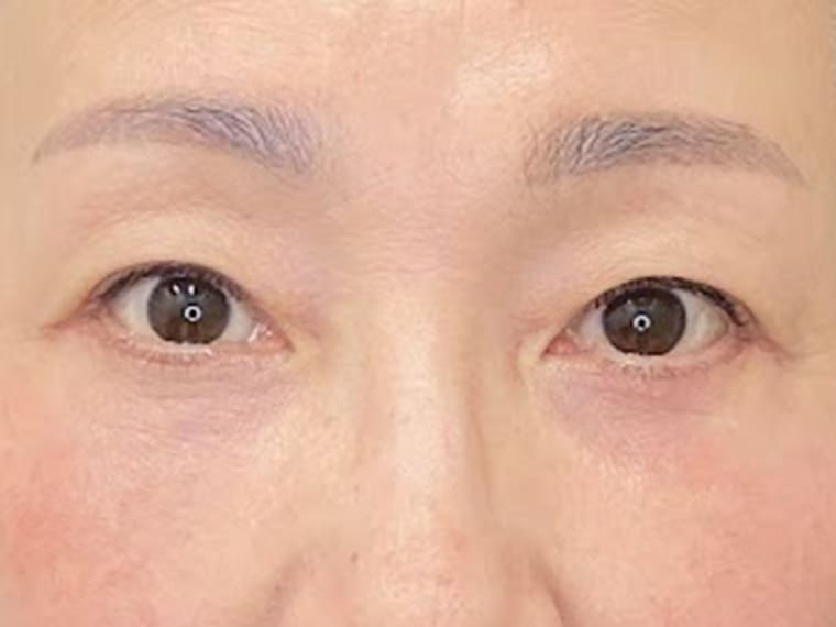
クマの治療Treatment
-
裏ハムラ法経結膜眼窩脂肪移動術


瞼の裏側を切開し眼窩脂肪を下方へ移動させ、きれいに整える治療法です。この術式の一番のメリットは傷がなく、脂肪注入が必要ないという点です。
裏ハムラ法はクマ治療の中でも難易度の高い術式になりますが、院長の和田は前職在籍時に症例数で関西No.1(2023年上半期SBC症例数)の実績があります。
裏ハムラ法の弱点として、ゴルゴラインが深く長い方、皮膚のたるみが強い方は裏ハムラ法のみではきれいに仕上げることが難しいので追加の術式が必要になります。 -
切開ハムラ法経皮的眼窩脂肪移動術、表ハムラ法


下まつげギリギリのラインで皮膚を切開し、眼窩脂肪を下方へ移動させ綺麗に整える治療法です。この術式では弛んだ皮膚の一部も切除しますので、クマが大きく皮膚のたるみがある方に適応があります。この術式の弱点は切開するので傷が残る点ですが、まつ毛のギリギリを切開しますので傷は目立ちません。また、術後に下まぶたが外反しないように吊り上げ固定しますので、数日はつり目になります。院長の和田は前職在籍時に症例数で関西No1(2024年上半期SBC症例数)の実績があります。
-
切らないクマ取り法経結膜眼窩脂肪切除術


瞼の裏側を切開し眼窩脂肪を切除します。日本においては最も有名な術式で多くの美容外科医が行っている術式です。残念ながら切らないクマ取り法のみできれいになる方は少ないです。もっと正直に言えば、20代までと考えられています。もちろんまぶたの状態や皮膚の状態、クマの大きさなどで30代以上の方でも切らないクマ取り法のみでもきれいになる方はいらっしゃいます。クマが大きい方、へこみが目立つ方は他の術式や、脂肪注入やヒアルロン酸注入を同時に行うことをお勧めします。
-
脂肪注入


クマの下にへっこみがある方や赤クマ、青クマが気になる方には脂肪注入を行います。太ももの内側から脂肪を採取し適切に処理した脂肪を注入します。